Jueves, 01 Marzo 2018
Rehabilitación atornillada con estructura cr-co fresado
PRÓTESIS PROVISIONAL ATORNILLADA DE CARGA INMEDIATA

Se programa cirugía para la inserción de 7 implantes superiores para carga inmediata . El mismo día de la de la cirugía se toman las impresiones, que son enviadas a laboratorio. Procedemos a la fabricación de una prótesis híbrida provisional. 24 horas después de la cirugía, el paciente sale de la clínica con su prótesis superior atornillada . Esta prótesis será funcional durante todo el proceso de fabricación de la rehabilitación definitiva . En la fabricación vemos que la emergencia de 2 de los implantes anteriores es vestibular, lo cual nos exige angular al menos esos 2 pilares (11 y 13).. También nos alerta a nivel de estética ya que los dientes superiores apenas son visibles.

ENCERADO DIAGNÓSTICO
Comenzamos realizando un encerado diagnóstico, buscando estética y funcionalidad.El sector anterior se enfila teniendo en cuenta que la angulación de los pilares 11 y 13 no sea superior a 25º y bajando un poco la línea incisal para que los incisivos resulten más visibles. A nivel de 21-22 se observa un tramo de pérdida ósea por lo que valoramos con la doctora la opción de hacer soporte labial cerámico con estética rosa en dicho tramo. La prueba del encerado diagnóstico en boca nos confirma que no es necesario . La Dra. Mónica Paupie hace los retoques oclusales necesarios en clínica y con la conformidad del paciente damos por satisfactoria la prueba.

DISEÑO Y FRESADO CAD-CAM
Escaneamos el encerado diagnóstico para reproducir el diseño en la estructura de cr-co fresada. Con la tecnología CAD-CAM o tecnología digital estamos en condiciones de diseñar y fabricar rehabilitaciones odontológicas extremadamente precisas y de la más alta calidad.

FRESADO DE ESTRUCTURA
Se añaden canales de angulación a las piezas 11 Y 13 para que la emergencia sea palatina y también se angula la pieza 26 para mejorar la vía de inserción. Una vez registrados todos los parámetros y hecha la reducción del encerado diagnóstico procedemos a fresar la estructura en Cr-Co.
![]() | ![]() |
AJUSTES DE ESTRUCTURA
Con la estructura ya fresada comprobamos que los ajustes a los análogos son correctos y que la estructura atornillada está libre de tensiones. Mandamos la estructura a clínica para prueba radiológica y gingival realizada por la Dra. Mónica Paupie, la cual nos confirma que los ajustes son correctos.
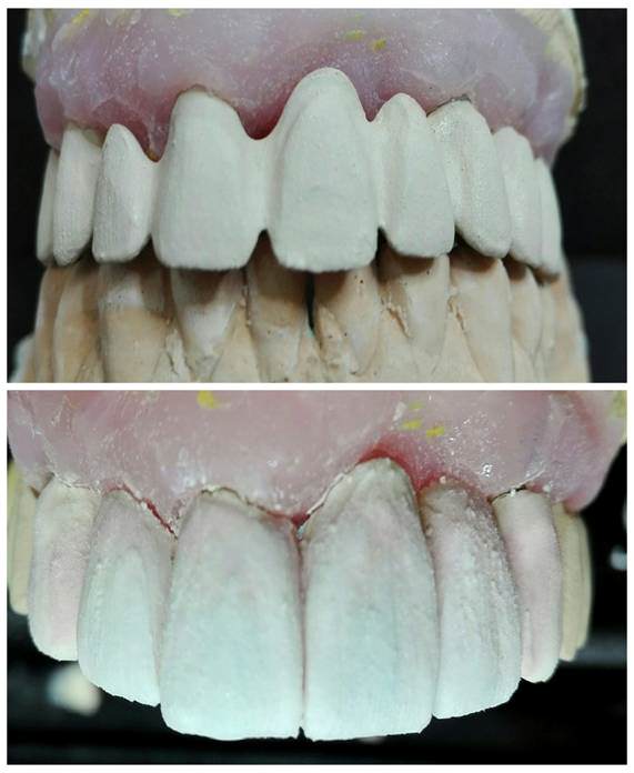
ESTRATIFICACIÓN Y PRUEBA DE BIZCOCHO
Opacamos la estructura y comenzamos la estratificación cerámica. Enviamos la prueba a clínica para valorar estética y oclusión.
![]() | ![]() |
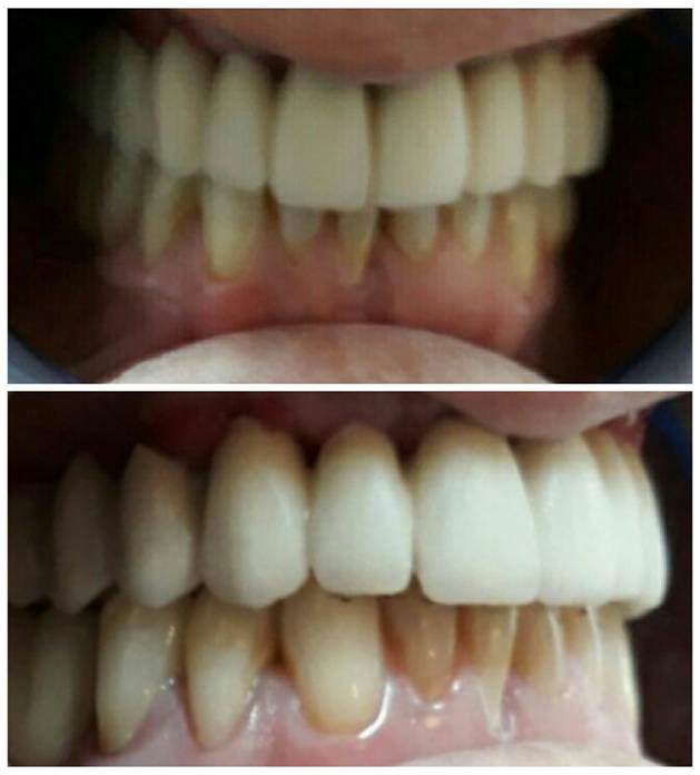
REAJUSTES , GLASEADO Y TERMINACIÓN DE REHABILITACIÓN
Una vez realizados los ajustes necesarios tanto en clínica como en laboratorio, procedemos a terminar la rehabilitación. En clínica se obturan los canales de emergencia con composite. El ajuste en mucosa es excelente y el paciente se muestra totalmente satisfecho tanto a nivel estético como funcional.
OBTURACIÓN CON COMPOSITE |
![]() |
![]() | EN EL MOMENTO DE LA COLOCACIÓN. Se observan pequeñas lesiones e inflamación de la mucosa. |
![]() | UN MES DESPUÉS. Se puede observar en pocos días que comienza la desinflamación y readaptación de la encía. |
NUESTRO AGRADECIMIENTO A LA DRA. MÓNICA PAUPIE POR ESTAR SIEMPRE DISPUESTA TANTO A LA COMUNICACIÓN COMO A LA COLABORACIÓN EN LA PLANIFICACIÓN DEL CASO.

Luisa Maria González Pasán
Directora técnica
Título de técnico especialista en Prótesis dental de laboratorio expedido el 01/06/1995 Certificado de colegiación Nº 84 con fecha...